Before and After
CrowdingBefore and After
Crowding Smile Gallery
Struggling with crowded teeth? Let the expert team at Papasikos Orthodontics transform your smile. Take a look at our stunning transformations in the Crowding Before and After Gallery.
Your perfectly aligned smile is within reach – see what’s possible with our proven orthodontic expertise!
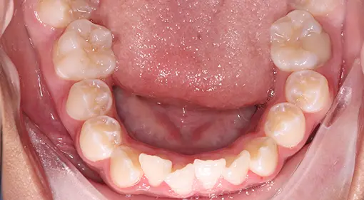
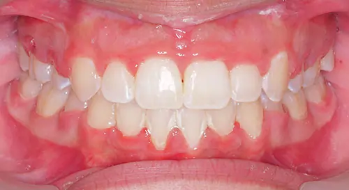
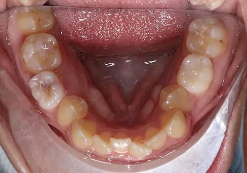
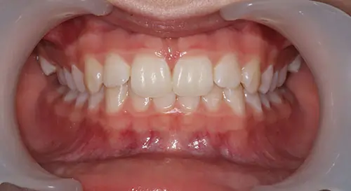
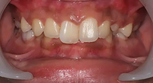
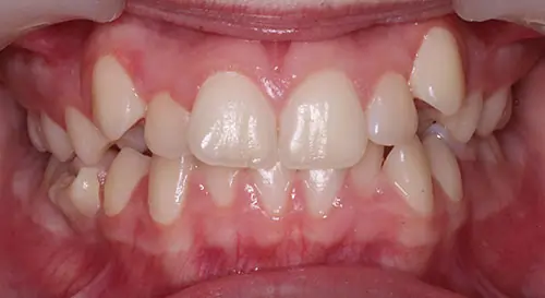
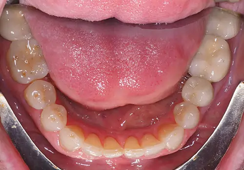
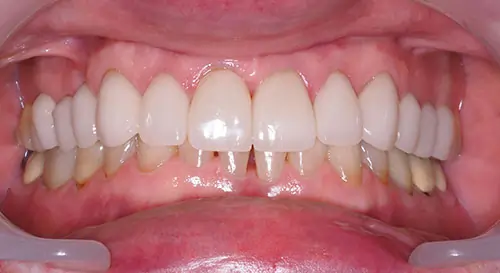
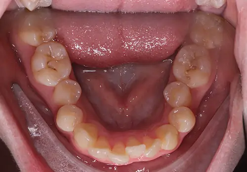
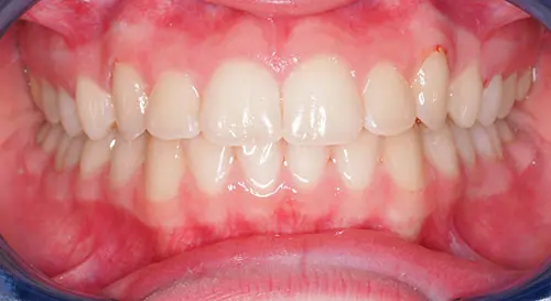
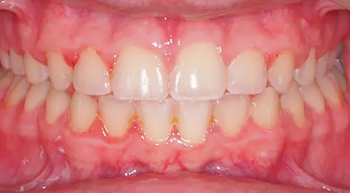
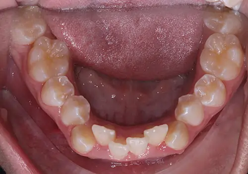
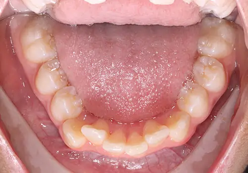
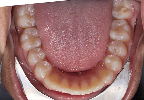
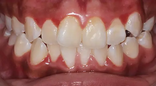
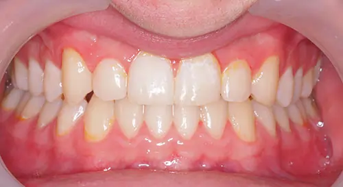
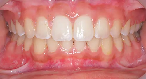
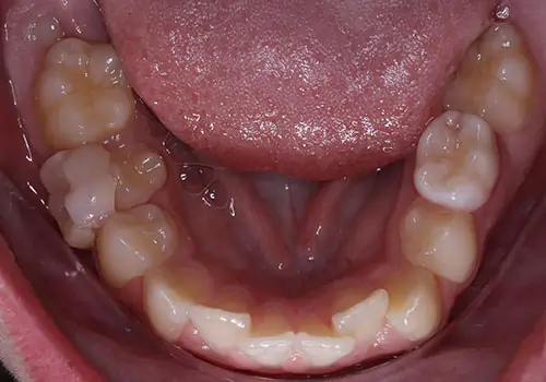
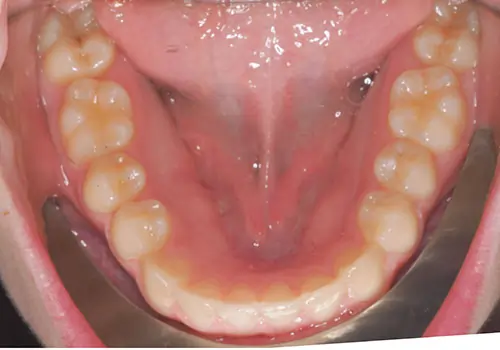
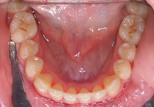
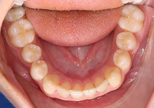
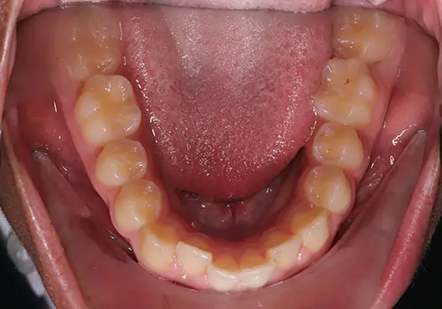
Patient 1
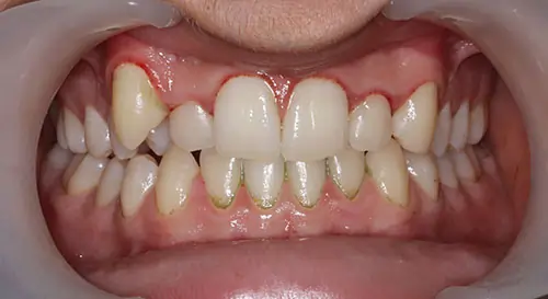
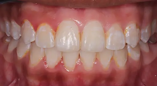
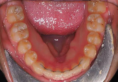
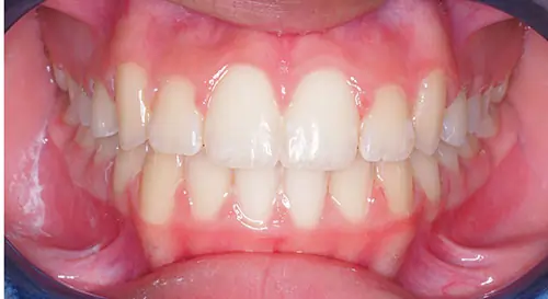
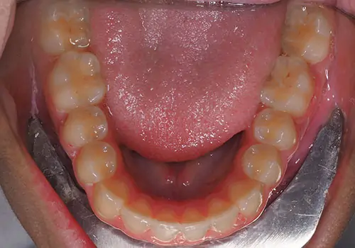
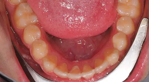
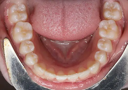
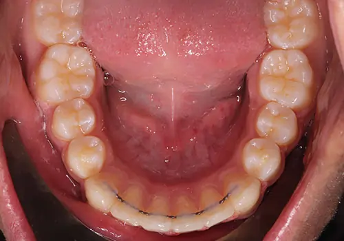
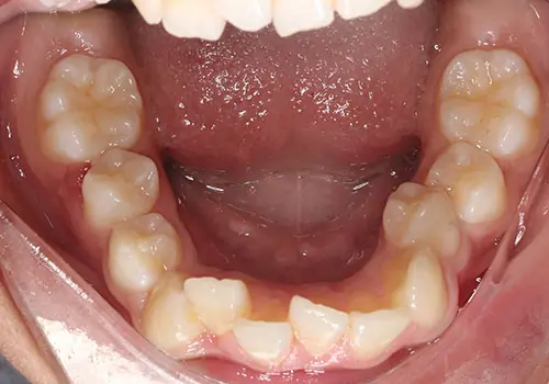
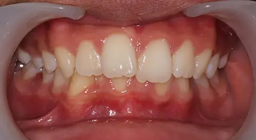
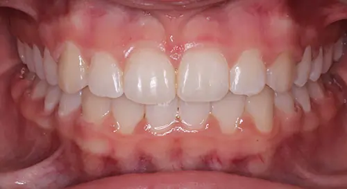
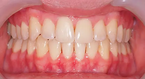
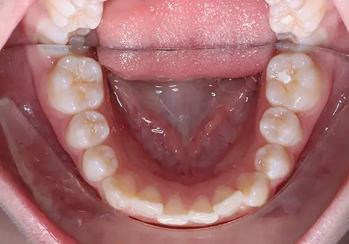
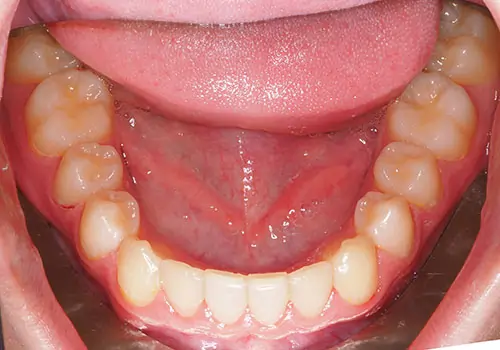
Patient 2
Patient 3
Patient 4
Patient 5
Patient 6
Patient 7
Patient 8
Patient 9
Patient 10
Patient 11
Patient 12
Patient 13
Patient 14
Patient 15
Patient 16
Patient 17
Patient 18
Patient 19
Patient 20
Patient 21
