Before and After
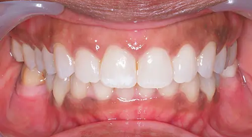
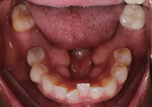
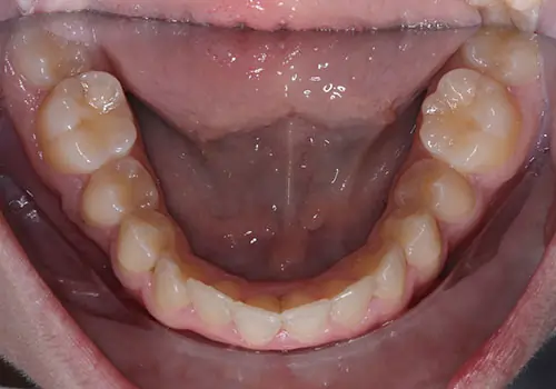
InvisalignBefore and After
Invisalign Smile Gallery
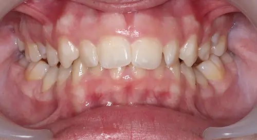
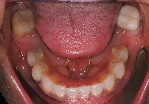
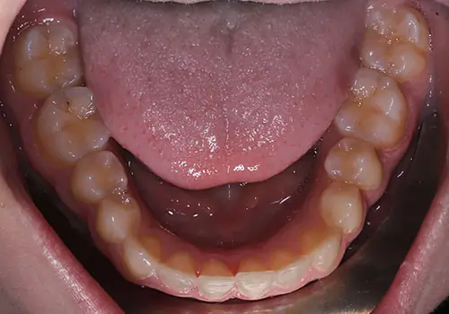
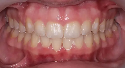
Invisalign® is a revolutionary alternative to traditional braces, using a series of custom-made, clear aligners to straighten teeth and correct bite issues. Our advanced 3D imaging technology allows us to create a precise treatment plan, showing you exactly how your smile will transform throughout the process.
Patient 1
Patient 2
Patient 3
Patient 4
Patient 5
Patient 6
Patient 7
Patient 8
Patient 9
