Before and After
OverbiteBefore and After
Overbite Smile Gallery
A genuine smile has the power to brighten any room, ease social connections, and create instant warmth in any situation. However, when teeth and bite don’t align properly (known as malocclusion), it can affect both the function of your smile and your confidence in sharing it.
Our Overbite Before and After Gallery highlights transformative patient success stories that showcase how Papasikos Orthodontics creates beautiful, healthy smiles through personalized treatment approaches. Discover how we can help you achieve the confident smile you deserve.
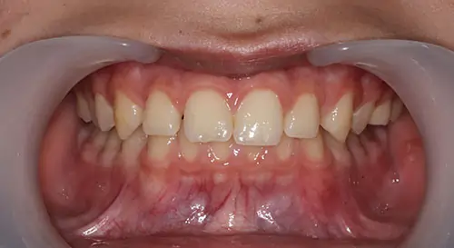
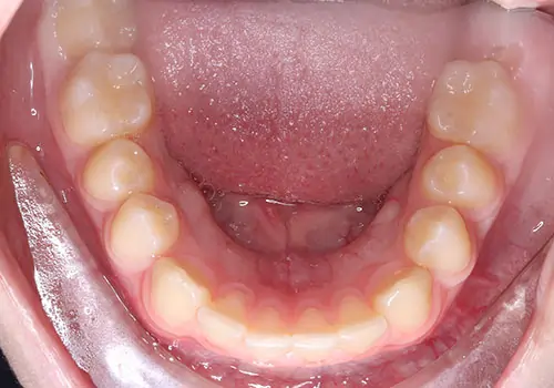
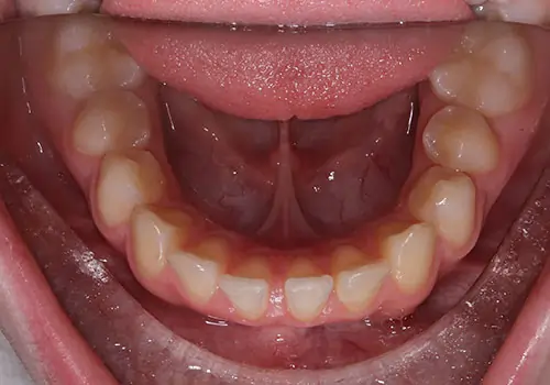
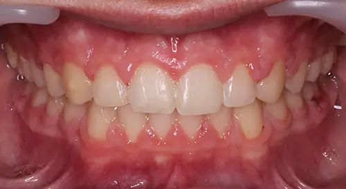
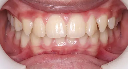
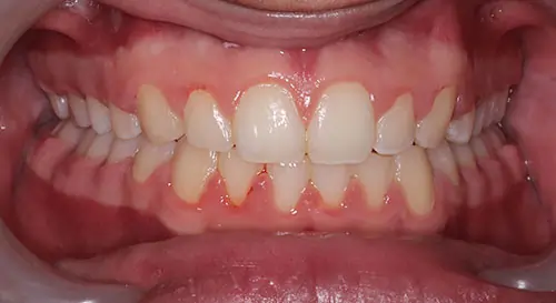
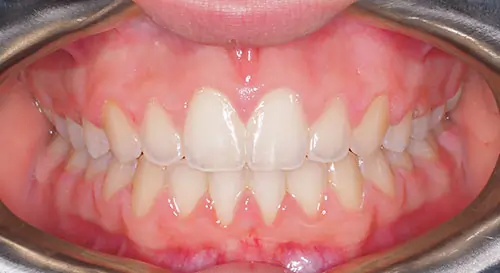
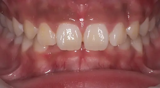
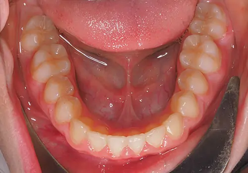
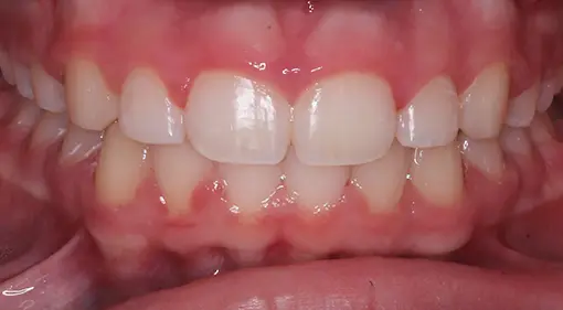
Patient 1
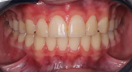
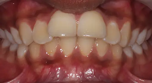
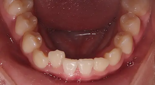
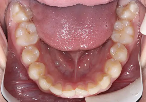
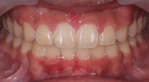
Patient 2
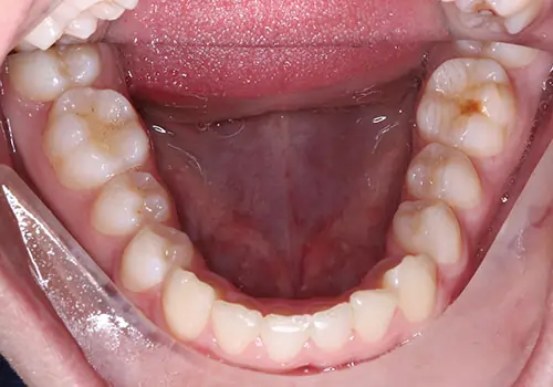
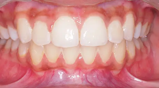
Patient 3
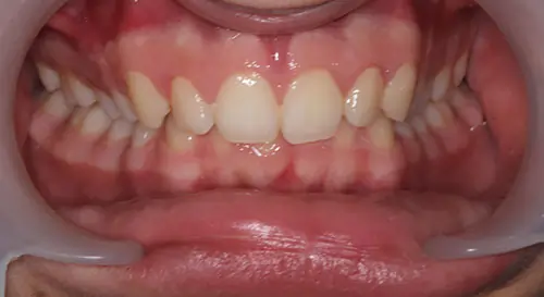
Patient 4
Patient 5
Patient 6
Patient 7
Patient 8
Patient 9
Patient 10
Patient 11
Patient 12
