Before and After
Phase 1Before and After
Phase 1 Smile Gallery
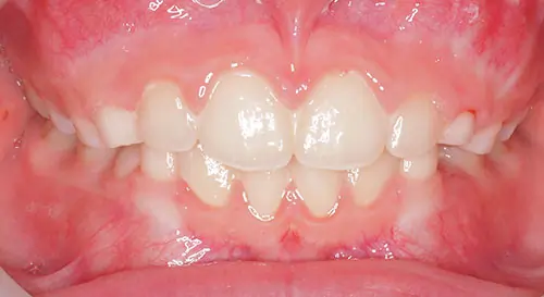
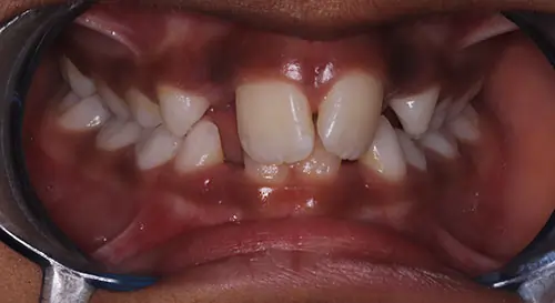
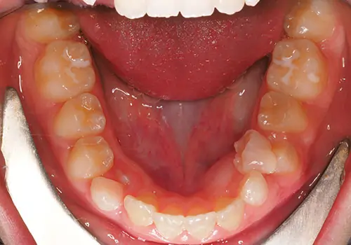
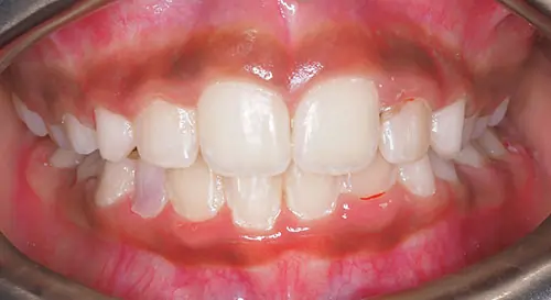
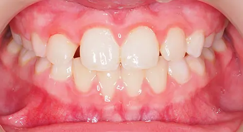
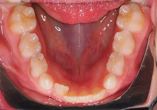
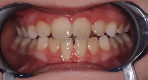
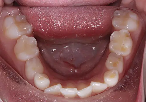
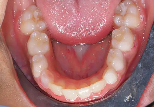
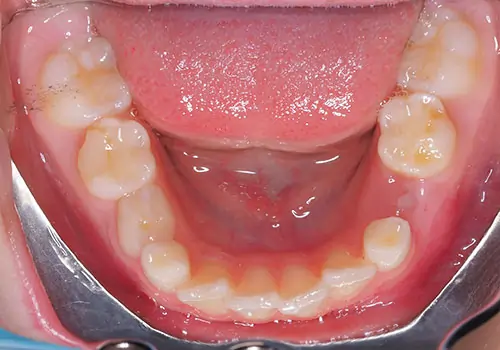
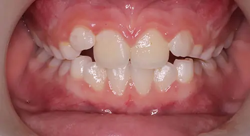
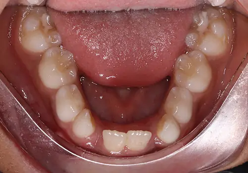
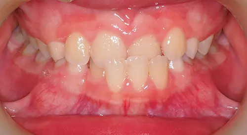
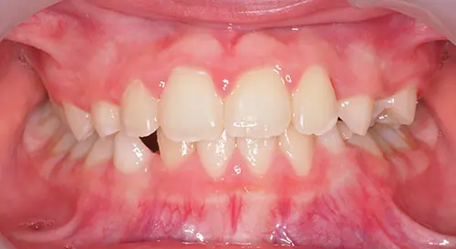
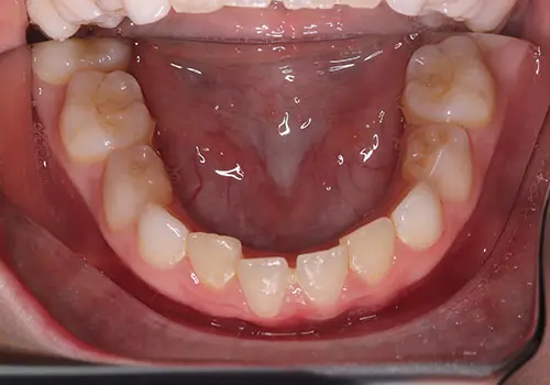
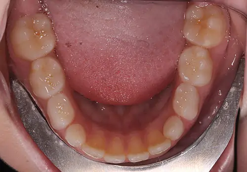
Phase 1 treatment at Papasikos Orthodontics focuses on creating a strong foundation for a healthy, confident smile from an early age. When dental issues like malocclusion—particularly open bites or crossbites—develop in childhood, they can affect not only the appearance of the smile but also essential functions like speaking and eating. Through early intervention, Dr. Papasikos and our experienced team address these concerns using customized treatment plans designed specifically for growing patients. Our Open Bite and Crossbite Before and After Galleries highlight real success stories, showing how Phase 1 treatment can correct alignment issues, improve function, and boost self-esteem. These transformations reflect our dedication to expert care and long-term oral health.
Patient 1
Patient 2
Patient 3
Patient 4
Patient 5
Patient 6
Patient 7
Patient 8
Patient 9
Patient 10
Patient 11
Patient 12
Patient 13
Patient 14
