Before and After
SpacingBefore and After
Spacing Smile Gallery
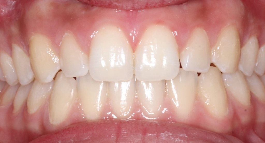
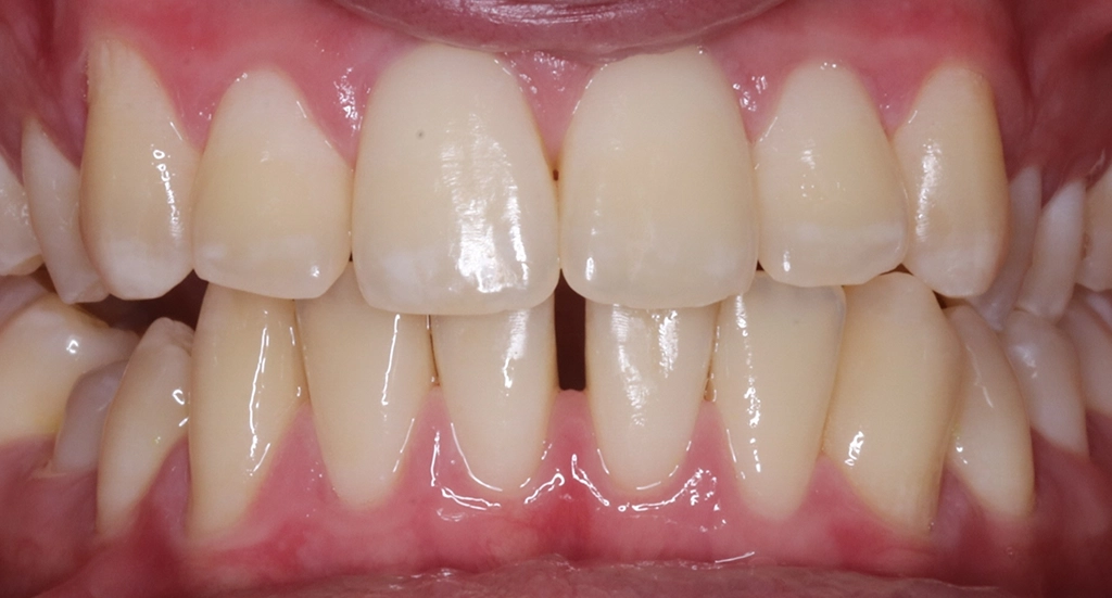
At Papasikos Orthodontics, we understand that proper spacing between teeth plays a vital role in both the health and aesthetics of your smile. Whether you’re dealing with crowding, gaps, or general misalignment, our team is committed to providing personalized treatment solutions that support long-term oral health. Improper spacing can impact not just appearance, but also essential functions like chewing, speaking, and maintaining oral hygiene. Dr. Papasikos and our experienced team use advanced diagnostic tools and customized orthodontic plans to effectively address spacing concerns in patients of all ages. Our Before and After Galleries showcase real patient outcomes, reflecting our dedication to achieving beautifully aligned smiles and optimal function through expert care.
Patient 1
Patient 2
Patient 3
Patient 4
Patient 5
Patient 6
