Before and After
UnderbiteBefore and After
Underbite Smile Gallery
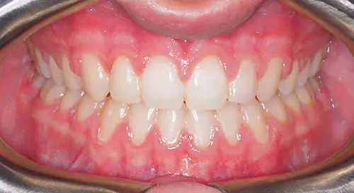
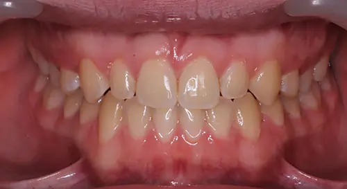
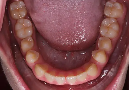
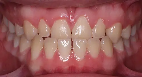
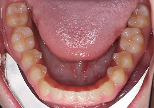
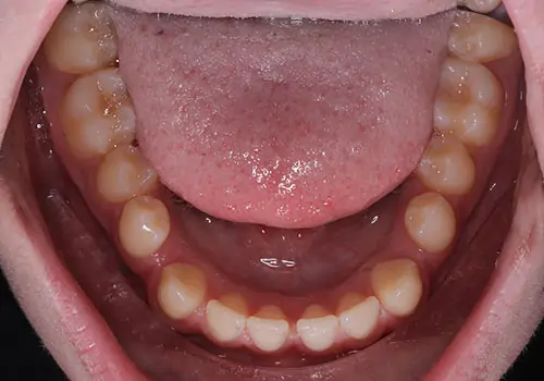
An underbite is a type of dental misalignment where the lower teeth extend outward farther than the upper front teeth when the mouth is closed. This condition, also known as a Class III malocclusion, can range from mild to severe and may affect both the appearance and function of the smile. Underbites can lead to difficulties with chewing, speaking, and even breathing in some cases. They can also contribute to uneven tooth wear and jaw discomfort over time. At Papasikos Orthodontics, we evaluate the underlying causes of each patient’s underbite—whether dental, skeletal, or a combination—and develop a personalized treatment plan to correct the alignment and restore balance to the bite and jaw.
Patient 1
Patient 2
Patient 3
